Despite MRI’s potential for radiotherapy, integrating the modality into the workflow can present challenges – specifically the novelty of a changed workflow and adjusting to the unique requirements for MRI use in radiation therapy versus as a diagnostic modality only .
Whether you are looking for a dedicated system in the RT department or for a shared service with radiology, Philips is committed to facilitating the integration of MRI and to helping you realize the benefits of MRI in radiation therapy.
Learn how successful implementation of MRI in radiotherapy workflows can open new treatment pathways for patients.
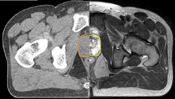
With its exceptional soft-tissue visualization capabilities and wide range of image contrasts, MRI has become a powerful tool to help more precisely define tumor boundaries. This is particularly important as it has been established that there is a high degree of uncertainty in target volume delineation, and it is even reported to represent the largest uncertainty in the entire radiotherapy process for most tumor sites**. Better visualization of the target area and nearby organs-at-risk is a key factor in enhancing target volume delineation. MRI’s expanding role also can be attributed to its functional imaging capabilities, which can inform both target characterization and treatment response.

With its superior soft tissue contrast compared to CT, MRI offers exquisite visualization of tumor boundaries and proximity to nearby critical structures.
The ability to tune contrasts can provide even more valuable information about tumor characteristics and tumor extent to facilitate enhanced delineation, and also provides possibilities for dose boosting strategies.

In addition to anatomical imaging, MRI offers the ability to obtain functional information that is beneficial for tumor detection and delineation, and for response monitoring.
Diffusion-weighted imaging (DWI) for example depicts areas of high signal intensity in soft tissues that are indicative of the restricted water mobility (i.e., diffusion) of a tumor and can also be used to identify lymph nodes. Changes in the tissue’s or lesion’s apparent diffusion coefficient (ADC) can provide insights that help predict the tumor’s response to radiotherapy.

Unlike CT, MRI images are created without using ionizing radiation. This is particularly important when the patients are children, in which exposure to a radiation dose should be minimized to reduce long-term secondary effects. The option to acquire multiple MRI exams paves the road towards “plan-of-the-day” approaches or monitoring treatment response for adaptive strategies.

Innovative strategies in MRI-only simulation have made it possible to derive CT-like electron density information from MR imaging data. This capability enables physicians to use MRI as the radiotherapy department’s primary imaging modality for specific applications to eliminate tedious and error-prone CT-MR registration and simplify workflows.

Ingenia MR-RT
Ingenia MR-RT is a dedicated MR simulation platform that provides high quality, high contrast MR images acquired with the patient in treatment position. Designed for the needs of radiation oncology, this comprehensive solution provides the tools and software needed for versatile and efficient imaging for radiotherapy planning.

This not only extends the benefits of MRI’s excellent soft-tissue contrast to radiotherapy planning, but it also eliminates arduous, error-prone CT-MRI registration from the process, reducing uncertainties and complexity. MR-only radiotherapy
Our innovative MRCAT (MR for Calculating ATtenuation) clinical applications lets you plan radiation therapy using MRI as primary imaging modality. Within just one, fast MR exam, MRCAT provides both excellent soft-tissue contrast for target and OAR delineation and CT-like density information for dose calculations.

MR-linac simulation package for Elekta Unity The Philips Ingenia MR-RT simulation platform with MR linac simulation package is an ideal complement to Elekta Unity. With consistent workflows and image quality from MR simulation through to online MR guidance during radiation treatment, it will let you exploit the many similarities and synergies between Philips Ingenia MR-RT and Elekta Unity.
It is very good that we can collaborate with Philips to improve the knowledge on MRI in Radiotherapy in the radiotherapy community"
Marielle Philippens, MD, PhD
Associate Professor at University Medical Center Utrecht, The Netherlands.
Successful implementation of MRI in the RT department requires workflow modifications, comprehensive training and collaboration across departments. The volume of information and planning needed can be challenging. Fortunately, our active and engaged user community is committed to advance the use of MRI in radiotherapy. Learn from their insights on implementation and best practices.
Explore clinical cases that demonstrate the use of MRI for RT planning.
An ideal opportunity for teams on the path to increase the level of MRI integration in their treatment planning workflows and who are seeking to deepen their knowledge and learn from best practices.
The tailored training by our partnership hospital helps multi-disciplinary teams of radiation oncologists, medical physicists and radiotherapy technicians to successfully implement MRI for treatment planning.

Starting from scratch, the team from The Christie, UK, developed a MR-sim education and training program for proton beam radiotherapy service.
Dr. Philippens at University Medical Center Utrecht relates her site’s experience integrating MRI into its RT planning workflow.

Arhus University Hospital at the forefront of MRI guidance in adaptive cervical cancer radiotherapy.

Beaumont Health System brought MRI into its routine RT practice by acquiring Ingenia 3.0T MR-RT.

A fully integrated Elekta linear accelerator and 1.5T Philips MRI system usher in the clinical era of high field MR-guided radiotherapy.
Clinicians at Finland’s Turku University Hospital have streamlined their workflow for prostate cancer radiotherapy with MR-only simulation.

Together with Philips, you can make your workflow simple, fast, and precise from start to finish. And be certain you can deliver consistent treatment results.
Philips offers a proven portfolio of dedicated radiotherapy solutions that span diagnostic imaging to treatment planning. By integrating tools, systems, and software – we help you to improve patient care, accelerate time to treatment and enhance patient satisfaction, while maximizing the value of your investment.




* Tested in a non-clinical environment with single Pinnacle3 user and a 5-beam IMRT plan. Excluding time for optional manual adjustments.
** Njeh, J Med Phys. 2008, 33(4). Segedin et al., Radiol. Oncol. 2016, 50(3).
You are about to visit a Philips global content page
ContinueConținutul paginii următoare conține informații destinate exclusiv profesioniștilor din domeniul sănătății, întrucât se referă la produse care se încadrează în categoria dispozitivelor medicale care necesită utilizarea sau intervenția profesioniștilor din sectorul medical.
Ești o persoană care întrunește criteriile de mai sus?