Prin tomografia computerizată bazată pe detector spectral, puteți achiziționa date la mai multe nivele de energie - convenționale și spectrale – printr-o singură expunere și fără protocoale speciale de scanare, pentru o mai bună caracterizare și vizualizare a țesuturilor.
Aflați mai multe despre tomografia computerizată bazată pe detector spectral accesând Centrul de învățare.

Scanează ca de obicei O singură scanare pentru date convenţionale şi spectrale obţinute rapid, cu doză redusă, pentru fiecare pacient, de fiecare dată.

Are întotdeauna disponibilă componenta spectrală Rezultate 100% spectrale, pentru toate scanările care sunt întotdeauna disponibile la cerere, chiar și retrospectiv.

Reduce numărul de examinări ulterioare O mai bună caracterizare și vizualizare a țesuturilor poate reduce nevoia de scanare ulterioară pentru examene suboptime și descoperiri accidentale.

Se adresează tuturor tipurilor de pacienți Sistemul poate fi utilizat pentru diverse tipuri de pacienţi, de la copii şi adolescenţi până la pacienţi bariatrici.
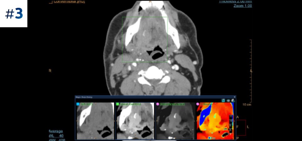
Umflătură la nivelul gâtului
Descărcaţi cazurile de aici
Verificaţi-vă răspunsurile aici
În acest an, se anunţă schimbări captivante în domeniul tehnologiei CT cu detector spectral. Înregistrați-vă pentru actualizări şi fiţi la curent cu toate noutăţile sau contactaţi un reprezentant de vânzări pentru a afla mai multe informaţii.
Experimentaţi simplitatea oferită de tehnologia CT cu detector spectral.


Descoperiţi diferenţele dintre scanarea CT cu detector spectral şi scanarea CT convenţională

Aflaţi mai multe despre avantajele tehnologiei CT cu detector spectral

Retrăiţi experienţa summit-ului virtual Philips pe tema CT spectrale, desfăşurat în anul 2020

Descoperiţi toate soluţiile CT
You are about to visit a Philips global content page
ContinueConținutul paginii următoare conține informații destinate exclusiv profesioniștilor din domeniul sănătății, întrucât se referă la produse care se încadrează în categoria dispozitivelor medicale care necesită utilizarea sau intervenția profesioniștilor din sectorul medical.
Ești o persoană care întrunește criteriile de mai sus?